为什么拍口腔全景拍出来是白色的

2023-11-02 综合百科 0阅读 投稿:佚名
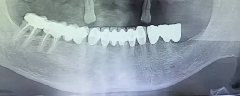
最佳答案在全景片显影中,骨骼、牙齿、补牙材料、牙冠这种组织属于高密度组织,在影像上呈现白色;像牙龈和牙髓这一类组织属于低密度组织,低厚度组织,会呈黑色或灰色。蛀牙在全景片显影上会出现黑色阴影的缺损,如果是邻面龋以及龋坏程度,通常需要到医院,医生用探针、口镜等进行确定。

在全景片显影中,骨骼、牙齿、补牙材料、牙冠这种组织属于高密度组织,在影像上呈现白色;像牙龈和牙髓这一类组织属于低密度组织,低厚度组织,会呈黑色或灰色。蛀牙在全景片显影上会出现黑色阴影的缺损,如果是邻面龋以及龋坏程度,通常需要到医院,医生用探针、口镜等进行确定。

声明:123百科 所有作品(图文、音视频)均由用户自行上传分享,仅供网友学习交流。若您的权利被侵害,请联系我们删除