手指测骨密度准确率高吗

2023-09-27 综合百科 0阅读 投稿:佚名
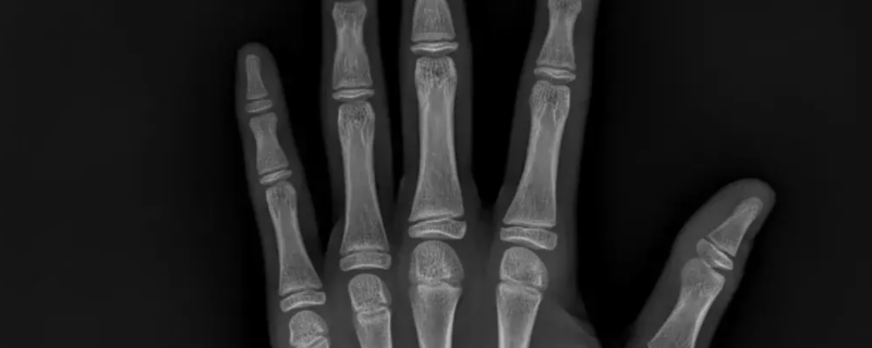
最佳答案手指测骨密度准确率不高。骨密度检查被广泛用于临床上诊断骨质疏松的患者,通过手腕关节的扫描,可以了解骨质疏松的程度,并预测病理性骨折的风险。一般情况下,骨密度检查的准确性适中,可以达到一定程度筛选、诊断的作用。但由于骨骼分布广泛,不能仅靠单一部位的骨密度检查确认骨质疏松具体程度。

手指测骨密度准确率不高。骨密度检查被广泛用于临床上诊断骨质疏松的患者,通过手腕关节的扫描,可以了解骨质疏松的程度,并预测病理性骨折的风险。一般情况下,骨密度检查的准确性适中,可以达到一定程度筛选、诊断的作用。但由于骨骼分布广泛,不能仅靠单一部位的骨密度检查确认骨质疏松具体程度。

声明:123百科 所有作品(图文、音视频)均由用户自行上传分享,仅供网友学习交流。若您的权利被侵害,请联系我们删除